Application of Echo Revolve Microscope in the Treatment and Pharmacology Research of Tuberculosis
Tuberculosis (TB) remains the leading cause of death from a single infectious agent. In 2017, more than 550,000 new cases of multidrug/rifampicin-resistant tuberculosis (MDR/RR-TB) were estimated to have occurred, highlighting the need for new treatment strategies. Linezolid (LZD) is an effective antibiotic for the treatment of drug-resistant Gram-positive infections and an effective treatment for tuberculosis. However, long-term use of LZD can lead to LZD-associated host toxicity, most commonly myelosuppression. LZD toxicity may be mediated by IL-1, an important inflammatory pathway in early immunity during Mycobacterium tuberculosis infection. However, IL-1 can contribute to pathology and disease severity later in the progression of tuberculosis.
Because IL-1 may contribute to LZD toxicity and does influence tuberculosis pathology, this study investigated this pathway as a potential target for host-directed therapy (HDT). This study hypothesized that the efficacy of LZD could be enhanced by modulating the IL-1 pathway to reduce myelotoxicity and tuberculosis-associated inflammation.
This article uses two tuberculosis animal models for research, one is a tuberculosis-susceptible mouse model and a clinically relevant macaque. In this study, the Echo Revolve inverted fluorescence microscope was used to first observe the lesions in the mouse lung tissue, as well as the measurement and visualization of the lesion area of the lung tissue; secondly, the macaque sternal bone marrow tissue sections were observed to compare the cell number and differential changes. Fluorescence microscopy was used to observe the specific expression of mouse anti-CD3e and mouse anti-Ly-6G antibodies in lung tissue.
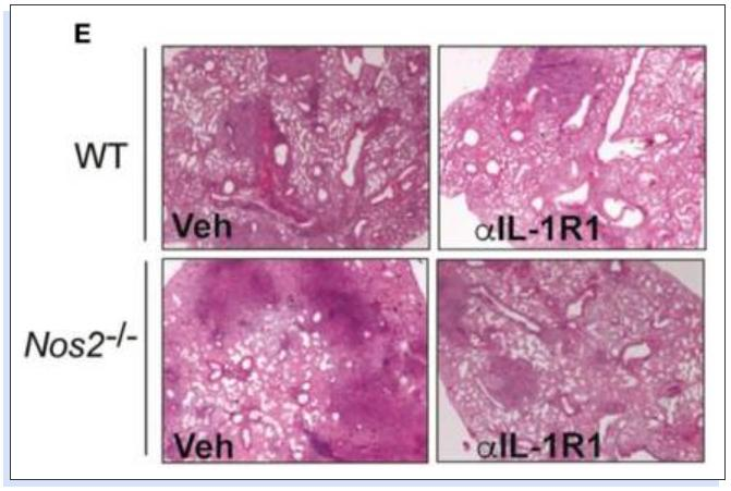
Histopathological analysis of individual lung lobes from WT or Nos2-/- mice was performed by hematoxylin-eosin (HE) staining. αIL-1R1 treatment reduced the mean bacterial burden in the lungs (Fig. 1). αIL-1R1 treatment did not aggravate disease in either mouse strain.

▲ Figure 1 Histopathological analysis results of a single lung lobe of WT or Nos2-/- mice by hematoxylin-eosin (HE) staining
The author used mouse anti-CD3e and mouse anti-Ly-6G antibodies to incubate, and observed secondary fluorescence and autofluorescence under the three channels of Echo Revolve 4 fluorescence microscope DAPI FITC and RFP respectively. The images of the three channels were superimposed to observe the image. The purple in the middle indicates the specific expression of the antibody in lung tissue, see Figure 2.
Since IL-1β production in response to Mtb infection and LZD treatment is largely dependent on the NLRP3 inflammasome, this article also investigated a regimen in which LZD and a small molecule NLRP3 inhibitor were administered between days 56 and 77 post-infection. (MCC950). As observed for αIL-1R1, addition of MCC950 reduced PMN numbers in the lungs compared with LZD alone and did not significantly alter bacterial killing (Figure 2).

▲ Figure 2 Immunofluorescence images of lung tissues in different treatment groups
Cell nuclei stained with DAPI (blue), T cells stained with mouse anti-CD3ε (green), and neutrophils stained with mouse anti-Ly-6G (red)
To confirm our observations, pathologists evaluated macaque bone marrow tissue sections. The results showed that there were no significant differences in cell numbers (myeloid: erythroid ratio) or abnormalities among different treatment groups, such as the TB group, LZD group, and LZD+IL-1Rn group (Figure 3).
▲Figure 3 Representative HE images of sternal bone marrow obtained during autopsy of macaques
The left image in the picture is the result of 20X shooting, and the right image is the result of 40X shooting
Research highlights:
▶ This paper uses the Echo Revolve inverted fluorescence microscope to clearly observe the lesions in the mouse lung tissue, and also clearly observes the distribution of macaque sternal bone marrow cells and compares the number of cells between different treatment groups; the bright field can quickly switch to fluorescence imaging with one button, and fluorescence observation clearly observes the specific expression of antibodies in the lung tissue of different treatment groups.
▶ The difference in bone marrow suppression between mice and macaques is clarified, highlighting the importance of evaluating HDT in multiple models before human experiments; in both models, the effects of IL-1Rn administration on the host, as well as the response to the efficacy of Mtb and LZD, can be observed by microscopy in the two models. Changes in lesions, cell numbers and differential changes in cells can be used to identify whether the combined inhibition of IL-1 and LZD is effective for the treatment of tuberculosis. The research data in this paper provides preclinical data for IL-1Rn as a potential treatment for tuberculosis.
Original article: doi: 10.3389/fimmu.2020.00891
Revolve Gen 2 Inverted and Upright Motorized Fluorescence Microscope

The new generation Revolve Gen 2 upright and inverted integrated electric fluorescence microscope has the popular touch-screen control method and is equipped with an intelligent fluorescence imaging system. It organically combines Z-Stacking panoramic depth imaging and DHR digital processing functions to improve resolution and say goodbye to blurred photos, creating a new imaging experience for you.